a Shows the combined image and b shows the aver...
Breath control mask with different options L bl...
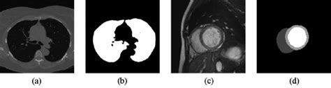
Examples of (a) a lung image (b) its lung mask ...
Lung Pro-Mask – Lung Tank
Premium Photo | Man wearing a lung inhalation m...
Mit Trainingsmaske zu mehr Lungenvolumen | Fitn...
A lung mask generated by UNet and an infection ...
Lung Sub-Mask | Full-face Snorkelling Mask – Lu...
225 Medical Mask Around Lungs Images, Stock Pho...
Multi-purpose respirator half mask - Creative C...
Performance of Noninvasive Ventilation Masks in...
Mask Wearing for Lung Cancer Patients – 5 Myths...
Rebreathers 1, Georg Löschner | Mask design, Co...
The airway-free initial lung mask. (a) The orig...
Lung protection hi-res stock photography and im...
Lung-aware proposal network. First, the lung ma...
(a) A high‐resolution computerized tomography l...
Lung Mask Icon - Download in Flat Style
Long-Term Mask Use May Contribute To Advanced S...
Pin on Protections
Protect your lungs with a respiratory mask . Wo...
Lungenvolumen verbessern & unter der Maske atme...
(a) Visual representation of the segmented lung...
Premium AI Image | A person with a mask on that...
A. Rendering of exported struck lung mask, M tl...
Examples of refining a convex hull of lung mask...
Lung Mask on a Pink Surface and a White Backgro...
Breath control mask with different options uni ...
Groomer's Lung: Helping Groomers Stay Healthy -...
A sample of generated mask for Lung dataset. | ...
Aqua Lung Atlantis Single Lens Dive Mask : Amaz...
Xray Lung Stethoscopelung Care Diagnosis Pulmon...
Copd Mask Photos and Premium High Res Pictures ...