Dandy Walker Syndrome - Neuropedia
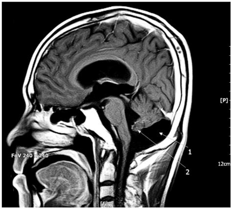
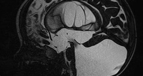
Dandy Walker Malformation Mri
Dandy Walker Malformation Diagram
Dandy-Walker Syndrome | PPT
Dandy Walker Malformation | Pediatric Radiology...
Dandy-Walker syndrome: Symptoms, causes, and more
Dandy Walker Syndrome Life Expectancy
Dandy Walker Syndrome
Dandy Walker Malformation | Diagnosis symptoms ...
Dandy-Walker Malformation | Treatment & Managem...
Dandy-Walker Syndrome: Symptoms and Causes
Child with Dandy-Walker syndrome with severe hy...
Diagnosis of Dandy-Walker syndrome (DWS). Prena...
Dandy walker syndrome
Dandy Walker Syndrome Ultrasound
Síndrome De Dandy-walker Sintomas - BRAINCP
Nadir Görülen Bir Anomali: Dandy Walker Sendrom...
DANDY WALKER SYNDROME || PART-2 || PEDIATRIC NE...
Dandy Walker Syndrome: Symptoms, Causes, and Pr...
Dandy- Walker syndrome! - MEDizzy
Dandy Walker Syndrome.pdf
Dandy-Walker Syndrome Explained: A Comprehensiv...
Dandy Walker Malformation Children
stimr.com: Dandy Walker Syndrome
Dandy Walker Malformation
Dandy Walker Syndrome – Dr Twinkle Kanodia
Dandy Walker Variant