Зубная паста
5.1.2. Гиперплазия эмали
Пидоры помогите разобраться! / знатоки :: пидор...
Четыре вопроса о зубных пастах с фторидами | Ку...
Зубная паста, 100 мл
V34 фиолетовая зубная паста для чистки полости ...
Зубная паста Fresh and White Природное отбелива...
Закончилась зубная паста? Не выбрасывайте тюбик...
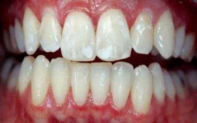
КЛАСИФИКАЦИЯ ФЛЮОРОЗА ЗУБОВ Флюороз лат Fluorum...
Зубная паста с фтором. Польза или вред? - YouTube
Лечение флюороза зубов в Казани от 750 рублей
Зубная паста от герпеса: можно ли мазать, отзыв...
Лечение флюороза зубов: цена в Москве
Флюороз зубов: причины, виды и лечение – полезн...
Флюороз 2 | Флюороз, Зубной, Стоматология
Зубная паста с ПРОПОЛИСОМ,корейская косметика и...
Parodontax Fluoride паста за зъби 100 ml
ВСЕ в ОДНОМ | Пикабу
Зубная паста - купить с бесплатной доставкой | ...
Зубная паста с фтором
Купить Зубная паста - наличие в аптеках СПБ | А...
Крупный план зубного флюороза стоковое фото ©ag...
Флюороз зубов - причины, лечение, профилактика
Зубная паста ‒ купить на официальном сайте в Ро...
Чёрная зубная паста | Penfox 🦊
Флюороз зубов
Зубна паста захист чутливих зубів | Зубная паст...
Зубная паста Сплат 100мл биокальций — Интернет-...
Кислородная профилактическая зубная паста «Лече...
Зубная паста, 75 мл
Зубная паста с очищающими пузырьками в дневнике...